Ab April 2026 können aktive oder ehemals stark Rauchende, die gesetzlich versichert sind, an einem Lungenkrebs-Früherkennungsprogramm per Niedrigdosis-CT teilnehmen. Die HANSE-Studie liefert nun wichtige Daten für ein noch präziseres Screening.
Ziel des Präventionsansatzes ist es, die Erkrankung in einem frühen Stadium zu entdecken und damit die Behandlungschancen deutlich zu verbessern.

Die HANSE-Studie war eine der ausschlaggebenden Untersuchungen, die den Gemeinsamen Bundesausschuss (G-BA) dazu veranlasst haben, die Lungenkrebs-Früherkennung als neue Kassenleistung zu etablieren. Die jetzt veröffentlichten Ergebnisse knüpfen daran an und liefern wertvolle Hinweise zur optimalen Gestaltung des Programms. Jährlich erkranken in Deutschland mehr als 50.000 Menschen an Lungenkrebs. Bei Frauen ist dies die dritthäufigste, bei Männern die zweithäufigste Krebsart. Hauptursache ist das Rauchen: Je länger und intensiver geraucht wird, desto höher das Erkrankungsrisiko. Da Lungenkrebs oft erst spät Symptome verursacht, wird die Krankheit häufig erst in fortgeschrittenen Stadien entdeckt. Bei einer frühzeitigen Diagnose mittels einer Niedrigdosis-Computertomografie (LDCT) ergeben sich Therapieoptionen durch operative Eingriffe sowie Immun- und Chemotherapie mit deutlich besseren Erfolgschancen.

Hauptursache für Lungenkrebs ist das Rauchen: Je länger und intensiver geraucht wird, desto höher das Erkrankungsrisiko.© methaphum/Adobe Stock
Die HANSE-Studie untersucht Screening-Kriterien
In den vergangenen Jahren haben internationale Studien gezeigt, dass eine CT-gestützte Früherkennung dazu beitragen kann, Lungenkrebs früher zu entdecken. Von zentraler Bedeutung ist dabei die Frage, welche Personen vom Screening profitieren und wie sich Risikogruppen möglichst präzise identifizieren lassen. An diesem Punkt setzte die vom Deutschen Zentrum für Lungenforschung (DZL) initiierte HANSE-Studie an. Forschende der LungenClinic Grosshansdorf, des Universitätsklinikums Schleswig-Holstein in Lübeck und der Medizinischen Hochschule Hannover analysierten gemeinsam mit der Firma AstraZeneca die Machbarkeit, Akzeptanz und Wirksamkeit eines deutschlandweiten Lungenkrebs-Screenings. Die Ergebnisse wurden im Fachjournal Lancet Oncology veröffentlicht.
PLCOm2012-Score erkennt mehr Lungenkrebsfälle
Untersucht wurde der sogenannte PLCOm2012-Score, der neben Alter und Rauchhistorie auch Bildungsstand, Körpergewicht, das Vorliegen einer chronisch-obstruktiven Lungenerkrankung (COPD), frühere Krebserkrankungen und familiäre Lungenkrebsfälle berücksichtigt. Zum Vergleich dienten die NELSON-Kriterien, auf denen das deutsche Screening-Programm basiert und die nur Alter und Tabakexposition einbeziehen. Alle Hochrisikopatientinnen und -patienten erhielten zwei LDCT-Untersuchungen im Abstand von einem Jahr.

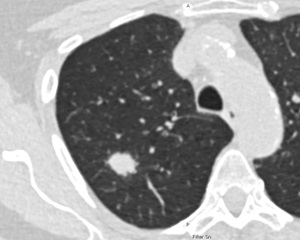
Niedrigdosis-CT der Lunge einer 69-jährigen Raucherin. Die weiße,runde Fläche im Lungengewebe weist auf Lungenkrebs im Frühstadium hin, der in diesem Stadium noch gut behandelbar ist. © Charité/Jens Vogel-Claussen
Die Ergebnisse zeigen: In der PLCOm2012-Gruppe wurden 19,4 Prozent mehr Lungenkrebsfälle gefunden als in der NELSON-Gruppe. Allerdings erfüllten rund sechs Prozent mehr Personen die PLCOm2012-Kriterien. Es erhielten also mehr Menschen eine Strahlendosis – was in die Risikobetrachtung und den Vergleich einfließen muss. „Wenn wir den umfassenderen PLCOm2012-Score mit einem definierten Schwellenwert zugrunde legen, müssen wir zwar etwa sechs Prozent mehr Personen screenen, entdecken aber deutlich mehr Lungenkrebsfälle“, erläutert Professor Martin Reck, Chefarzt des Onkologischen Schwerpunkts an der LungenClinic Grosshansdorf und Letztautor der Studie.
Frauen profitieren besonders von einer Anpassung der Screening-Kriterien
Die Daten zeigen zudem, dass insbesondere Frauen vom erweiterten Ansatz profitieren. In der HANSE-Studie erhielten 2,6 Prozent der Frauen eine Lungenkrebsdiagnose, aber nur 1,8 Prozent der Männer. Viele Frauen erfüllen jedoch die derzeit vorgesehenen Einschlusskriterien nach NELSON nicht. „Viele Frauen in unserer Studie rauchen aktiv, haben aber über ihr Leben hinweg weniger Zigaretten konsumiert und erreichen daher nicht die aktuelle Einschluss-Schwelle“, erklärt Dr. Sabine Bohnet, Leiterin des Lungenkrebszentrums am Campus Lübeck des UKSH und Co-Autorin der Studie. „Unsere Studie hat gezeigt, dass es möglich, aber auch nötig ist, die Einschlusskriterien für das Screening basierend auf den Ergebnissen der HANSE-Studie zu ändern. Sonst übersehen wir wichtige Risikogruppen“, resümiert Studienleiter Professor Jens Vogel-Claussen, vormals Medizinische Hochschule Hannover, jetzt Direktor der Klinik für Radiologie der Charité. Die Forschenden betonen, dass die Einführung des LDCT-Screenings ein großer Fortschritt ist. Die neuen Daten liefern nun wichtige Impulse für ein präziseres, geschlechtergerechteres und effizienteres Screening.
Deutsches Zentrum für Lungenforschung (DZL)
Das Deutsche Zentrum für Lungenforschung (DZL) ist ein vom Bundesministerium für Forschung, Technologie und Raumfahrt (BMFTR) und fünf Ländern geförderter Zusammenschluss aus 28 führenden universitären und außeruniversitären Einrichtungen, die sich der Erforschung von Atemwegserkrankungen widmen. Im DZL wird die grundlagen-, krankheits- und patientenorientierte Forschung auf dem Gebiet der Lungenerkrankungen überregional koordiniert und auf internationalem Spitzenniveau durchgeführt, um so die Translation grundlagenwissenschaftlicher Erkenntnisse in neue klinische Konzepte zur Verbesserung der Patientenversorgung zu beschleunigen.
Mehr Informationen: www.dzl.de
Über die HANSE-Studie
Die HANSE-Studie ist ein Investigator-Initiated Trial. Teilnehmende wurden an der Medizinischen Hochschule Hannover (MHH), dem Universitätsklinikum Schleswig-Holstein am Campus Lübeck und der LungenClinic Grosshansdorf rekrutiert – alles zertifizierte Lungenkrebszentren der Deutschen Krebsgesellschaft (DKG). Gefördert wird die Studie im Rahmen des DZL durch das Bundesministerium für Forschung, Technologie und Raumfahrt (BMFTR) und im Rahmen der Lung Ambition Alliance durch AstraZeneca. Zwischen Herbst 2025 und Sommer 2026 erhalten die Hochrisikoteilnehmenden ein weiteres CT-Screening, um den Langzeitverlauf zu studieren. Es werden auch bisher als Niedrigrisikopatienten eingestufte Personen zum Vergleich eingeladen. Zusätzlich wird geprüft, ob sich Biomarker im Blut finden lassen, die künftig eine noch frühere Diagnose von Lungenkrebs ermöglichen könnten.
Originalpublikation:
Vogel-Claussen J, Bollmann BA, May K et al. Effectiveness of NELSON versus PLCOm2012 lung cancer screening eligibility criteria in Germany (HANSE): a prospective cohort study. Lancet Oncol. 2025 Nov 10:S1470-2045(25)00490-5. DOI: 10.1016/S1470-2045(25)00490-5. Epub ahead of print. PMID: 41232542.
Wissenschaftlicher Ansprechpartner:
Prof. Jens Vogel-Claussen
Direktor der Klinik für Radiologie
Charité – Universitätsmedizin Berlin
jens.vogel-claussen@charite.de
Pressekontakt:
Deutsches Zentrum für Lungenforschung e. V.
Rogin Honar
Tel.: 0641 99-46721
contact@dzl.de