Können gefährliche Eiweiß-Ablagerungen, die bei Menschen mit einer seltenen Knochenmark-Erkrankung die Funktion verschiedener Organe beeinträchtigen, durch einen Inhaltsstoff des grünen Tees aufgelöst werden? Das wäre wahrlich eine Sensation. Ob eine Behandlung mit dem Inhaltsstoff des grünen Tees tatsächlich hilft, untersuchen Wissenschaftlerinnen und Wissenschaftler des Forschungsverbundes GERAMY derzeit in einer klinischen Studie. Sie haben es sich zur Aufgabe gemacht, die krankmachenden Eiweiß-Ablagerungen zu erforschen und neue Therapieverfahren zu entwickeln. (Newsletter 70 / Oktober 2014)
 Seit 2012 ziehen sie an einem Strang: Wissenschaft-lerinnen und Wissenschaftler aus Heidelberg, Kiel, Ulm, München und Berlin haben sich in einem Forschungsverbund zusammengetan, um gemeinsam die genetischen Ursachen sowie neue Diagnoseund Behandlungsmöglichkeiten einer seltenen Erkrankung zu erforschen, der systemischen Leichtketten-Amyloidose. Eine Krankheit, die jährlich bei schätzungsweise 800 Menschen in Deutschland festgestellt wird.
Seit 2012 ziehen sie an einem Strang: Wissenschaft-lerinnen und Wissenschaftler aus Heidelberg, Kiel, Ulm, München und Berlin haben sich in einem Forschungsverbund zusammengetan, um gemeinsam die genetischen Ursachen sowie neue Diagnoseund Behandlungsmöglichkeiten einer seltenen Erkrankung zu erforschen, der systemischen Leichtketten-Amyloidose. Eine Krankheit, die jährlich bei schätzungsweise 800 Menschen in Deutschland festgestellt wird.  Bei der systemischen Leichtketten-Amyloidose lagern sich die fehlgebildeten Leichtketten in Form von Fäden (Fibrillen) in verschiedenen Organen ab. Unter dem Elektronenmikroskop sind die Amyloid-Fibrillen gut erkennbar.Typisch für diese Krankheit ist, dass sich fehlgebildete Eiweiße – genannt Amyloide – massenhaft im Köper ablagern. Diese Amyloid-Ablagerungen geben den Amyloidosen ihren Namen. Die systemische Leichtketten-Amyloidose ist die häufigste Form der Amyloidose in Deutschland. Hierbei werden von kranken Knochenmarkzellen in großen Mengen fehlgebildete „Leichtketten“ ins Blut abgegeben. Bei Gesunden sind die Leichtketten ein unentbehrlicher Bestandteil von Antikörpern, die unseren Körper vor Infektionen schützen. Die fehlgebildeten Leichtketten erfüllen diese Aufgabe nicht. Vielmehr sind sie in ihrer dreidimensionalen Struktur verändert und lagern sie sich als Fäden (Fibrillen) in verschiedenen Organen ab, am häufigsten in Herz und Nieren. Die Organe werden dadurch verdickt, verhärtet und in ihrer Funktion gestört – mit lebensbedrohlichen Folgen. Mehr als die Hälfte der Betroffenen mit fortgeschrittenem Herzbefall verstirbt innerhalb weniger Jahre an Herzversagen. „Die Leichtketten lagern sich außerhalb der Zellen ab und verbinden sich zu einer amorphen Amyloid-Substanz. Das Problem ist, dass der menschliche Körper es kaum schafft, diese Ablagerungen abzubauen“, erklärt Privatdozent Dr. Stefan Schönland. „Bis heute gibt es auch kein Medikament, das dazu in der Lage ist.“ Schönland leitet das Amyloidose-Zentrum am Universitätsklinikum Heidelberg und koordiniert den vom Bundesministerium für Bildung und Forschung (BMBF) geförderten Forschungsverbund GER AMY. GER AMY steht für „GERman consortium for systemic light-chain AMYloidosis”.
Bei der systemischen Leichtketten-Amyloidose lagern sich die fehlgebildeten Leichtketten in Form von Fäden (Fibrillen) in verschiedenen Organen ab. Unter dem Elektronenmikroskop sind die Amyloid-Fibrillen gut erkennbar.Typisch für diese Krankheit ist, dass sich fehlgebildete Eiweiße – genannt Amyloide – massenhaft im Köper ablagern. Diese Amyloid-Ablagerungen geben den Amyloidosen ihren Namen. Die systemische Leichtketten-Amyloidose ist die häufigste Form der Amyloidose in Deutschland. Hierbei werden von kranken Knochenmarkzellen in großen Mengen fehlgebildete „Leichtketten“ ins Blut abgegeben. Bei Gesunden sind die Leichtketten ein unentbehrlicher Bestandteil von Antikörpern, die unseren Körper vor Infektionen schützen. Die fehlgebildeten Leichtketten erfüllen diese Aufgabe nicht. Vielmehr sind sie in ihrer dreidimensionalen Struktur verändert und lagern sie sich als Fäden (Fibrillen) in verschiedenen Organen ab, am häufigsten in Herz und Nieren. Die Organe werden dadurch verdickt, verhärtet und in ihrer Funktion gestört – mit lebensbedrohlichen Folgen. Mehr als die Hälfte der Betroffenen mit fortgeschrittenem Herzbefall verstirbt innerhalb weniger Jahre an Herzversagen. „Die Leichtketten lagern sich außerhalb der Zellen ab und verbinden sich zu einer amorphen Amyloid-Substanz. Das Problem ist, dass der menschliche Körper es kaum schafft, diese Ablagerungen abzubauen“, erklärt Privatdozent Dr. Stefan Schönland. „Bis heute gibt es auch kein Medikament, das dazu in der Lage ist.“ Schönland leitet das Amyloidose-Zentrum am Universitätsklinikum Heidelberg und koordiniert den vom Bundesministerium für Bildung und Forschung (BMBF) geförderten Forschungsverbund GER AMY. GER AMY steht für „GERman consortium for systemic light-chain AMYloidosis”.  Schmeckt gut und ist gesund: grüner Tee. Ob ein Inhaltsstoff des grünen Tees zur Therapie der systemischen Leichtketten-Amyloidose beitragen kann, wird derzeit in einer klinischen Studie getestet.Möglicherweise kann ein Inhaltsstoff des grünen Tees, das Epigallocatechingallat, kurz EGCG, zum Abbau der Amyloid-Ablagerungen beitragen. „Vorarbeiten unserer Verbundpartner haben gezeigt, dass EGCG im Reagenzglas fehlgebildete Eiweiße daran hindern kann, sich zu Amyloid zusammenzulagern“, sagt Schönland. Anlass zur Hoffnung gaben den Forschern auch Berichte einzelner Patienten, die den Tee-Inhaltsstoff einnahmen und deren Symptome am Herzen sich besserten. Die etablierte Behandlung der systemischen Leichtketten-Amyloidose besteht darin – neben der unterstützenden Behandlung der betroffenen Organe –, die krankhaft veränderten Knochenmarkzellen durch eine Chemotherapie abzutöten. Dies soll die weitere Bildung von Amyloid verringern oder gar stoppen. „Allerdings wird das bereits vorhandene Amyloid vom Körper trotzdem nur in geringem Maße abgebaut. Die Organe können sich daher meist nicht vollständig erholen. Was uns fehlt, ist ein Behandlungsverfahren, um das Amyloid im Körper abzubauen und die schädlichen Eiweiße daran zu hindern, sich überhaupt in den Organen abzulagern“, beschreibt Schönland.
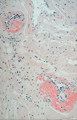
Schmeckt gut und ist gesund: grüner Tee. Ob ein Inhaltsstoff des grünen Tees zur Therapie der systemischen Leichtketten-Amyloidose beitragen kann, wird derzeit in einer klinischen Studie getestet.Möglicherweise kann ein Inhaltsstoff des grünen Tees, das Epigallocatechingallat, kurz EGCG, zum Abbau der Amyloid-Ablagerungen beitragen. „Vorarbeiten unserer Verbundpartner haben gezeigt, dass EGCG im Reagenzglas fehlgebildete Eiweiße daran hindern kann, sich zu Amyloid zusammenzulagern“, sagt Schönland. Anlass zur Hoffnung gaben den Forschern auch Berichte einzelner Patienten, die den Tee-Inhaltsstoff einnahmen und deren Symptome am Herzen sich besserten. Die etablierte Behandlung der systemischen Leichtketten-Amyloidose besteht darin – neben der unterstützenden Behandlung der betroffenen Organe –, die krankhaft veränderten Knochenmarkzellen durch eine Chemotherapie abzutöten. Dies soll die weitere Bildung von Amyloid verringern oder gar stoppen. „Allerdings wird das bereits vorhandene Amyloid vom Körper trotzdem nur in geringem Maße abgebaut. Die Organe können sich daher meist nicht vollständig erholen. Was uns fehlt, ist ein Behandlungsverfahren, um das Amyloid im Körper abzubauen und die schädlichen Eiweiße daran zu hindern, sich überhaupt in den Organen abzulagern“, beschreibt Schönland.  Gewebeschnitt eines Herzens: Die schädlichen Eiweißablagerungen – das Amyloid – sind leuchtend rot gefärbt, schwarz die Zellkerne der Herzmuskelzellen.Nun soll die klinische Studie klären, ob EGCG hält, was es verspricht. In die randomisierte Studie werden 38 Patientinnen und Patienten mit systemischer Leichtketten-Amyloidose aufgenommen, deren Herz durch die Amyloid-Ablagerungen in Mitleidenschaft gezogen ist. Sie erhalten – nach einer Chemotherapie – über einen Zeitraum von einem Jahr entweder EGCG oder Placebo. „Alle drei Monate untersuchen wir, wie sich die Herzbeteiligung der behandelten Patienten verändert hat“, beschreibt Schönland. Die Ergebnisse der Studie erwartet der Mediziner für 2016.
Gewebeschnitt eines Herzens: Die schädlichen Eiweißablagerungen – das Amyloid – sind leuchtend rot gefärbt, schwarz die Zellkerne der Herzmuskelzellen.Nun soll die klinische Studie klären, ob EGCG hält, was es verspricht. In die randomisierte Studie werden 38 Patientinnen und Patienten mit systemischer Leichtketten-Amyloidose aufgenommen, deren Herz durch die Amyloid-Ablagerungen in Mitleidenschaft gezogen ist. Sie erhalten – nach einer Chemotherapie – über einen Zeitraum von einem Jahr entweder EGCG oder Placebo. „Alle drei Monate untersuchen wir, wie sich die Herzbeteiligung der behandelten Patienten verändert hat“, beschreibt Schönland. Die Ergebnisse der Studie erwartet der Mediziner für 2016.